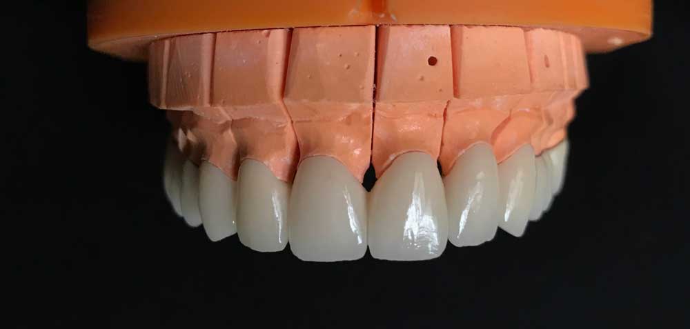
Zirkon çözümleri, diş hekimliğinde sıkça tercih edilen, yüksek dayanıklılığa ve estetik görünüme sahip materyallerdir.
Zirkonyum Kronlar: Özellikle arka dişlerde kullanılan bu kronlar, yüksek dayanıklılık ve doğal görünüm sunar. Metal altyapı yerine tamamen zirkonyum kullanılması, estetik avantaj sağlar.
Zirkonyum Köprüler: Eksik dişlerin yerini almak için uygulanan bu yapılar, dayanıklı ve estetik bir çözüm sunar. Uzun ömürlü ve doğal görünümlüdür.
Zirkon Veneerler: Ön dişlerde estetik iyileştirme için ince tabakalar halinde kullanılan zirkon veneerler, doğal diş görünümünü korur ve renk değişikliklerini gizler.
Zirkon İmplant Üstü Dişler: Diş implantları üzerine yerleştirilen zirkon dişler, estetik ve işlevsellik açısından önemli avantajlar sunar. Doğal dişlere benzer bir görünüm elde edilir.
Zirkon Porselenler: Yüksek estetik ve dayanıklılık gerektiren durumlarda tercih edilen zirkon porselenler, özellikle metal destekli porselenlere alternatif olarak kullanılmaktadır.




