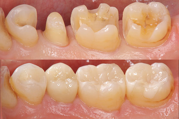
Inlay ve onlay, diş tedavisinde kullanılan, dişin iç kısmına veya yüzeyine yerleştirilen restorasyonlardır. Genellikle çürükler veya diş hasarları için tercih edilir.
Inlay
- Tanım: Dişin iç kısmına, yani çürük olan bölgeye yerleştirilen dolgu türüdür.
- Kullanım Alanı: Genellikle arka dişlerde, çürüğün geniş olmadığı durumlarda tercih edilir.
- Malzemeler: Porselen, kompozit veya altın gibi malzemelerden yapılabilir.
- Avantajları:
- Estetik görünüm sunar.
- Dişin doğal yapısını korur.
- Dayanıklıdır.
Onlay
- Tanım: Dişin üst yüzeyine yerleştirilen ve yan kısımlarını da kapsayan restorasyon türüdür.
- Kullanım Alanı: Daha büyük çürüklerde veya dişin daha fazla hasar gördüğü durumlarda kullanılır.
- Malzemeler: Inlay’de olduğu gibi porselen, kompozit veya altın kullanılabilir.
- Avantajları:
- Daha fazla alanı kaplar ve dişin bütünlüğünü korur.
- Estetik ve dayanıklıdır.
Genel Özellikler
- Uygulama Süreci: Hem inlay hem de onlay uygulamaları genellikle iki aşamada gerçekleştirilir. İlk aşamada hasarlı dişin temizlenmesi ve ölçü alınması, ikinci aşamada ise özel laboratuvarlarda hazırlanan restorasyonun yerleştirilmesi yapılır.
- Uzun Ömür: Doğru bakım ve hijyenle uzun ömürlüdürler.
Inlay ve onlay, estetik ve fonksiyonel açıdan etkili çözümler sunarak, diş sağlığını korumaya yardımcı olur.

